loading
Betreuung von chronischen Infektionen
Wissenschaftliche Studien haben bewiesen, dass durch alleinige gynäkologische Untersuchung nur in etwa der Hälfte eine richtige Diagnose gestellt werden konnte! Aussagen, wie “das schaut wie Pilz aus”, oder “der typische Fischgeruch bedeutet, dass sie eine Bakterielle Vagino...
loading
Betreuung von akuten Infektionen
Die häufigsten Ursachen für den Symptomkomplex Vaginitis sind verschiedene Hefepilze (Candida albicans, Candida glabrata, Candida krusei u.a.) und/oder verschiedene anaerobe Bakterien, die zusammen die sog. Bakterielle Vaginose (BV) verursachen.Die Symptome sind subjektiv und können s...
loading
Kinderwunsch
In unserer Praxis beraten wir viele Paare hinsichtlich Kinderwunsch. Grundsätzlich raten wir allen Paaren, bei denen die Frau jünger als 30 Jahre alt ist, zunächst einmal ohne Untersuchungen zum Erfolg zu kommen. Falls es nach einem Jahr noch nicht zu einer Schwangerschaft gekommen is...
loading
2D, 3D, 4D Ultraschall
Die Ultraschalluntersuchung ist heute von einer kompetenten Frauenarzt-Praxis nicht mehr wegzudenken. Wir verfügen seit 2015 über ein extrem hochwertiges Ultraschallgerät, das neben einer sehr guten Bildauflösung Techniken wie 3D Ultraschall, 4D Ultraschall und verbesserten Doppl...
loading
Zwillinge und mehr
Zwillinge, Drillinge und höhergradige Mehrlinge sind natürlich immer ein großes Erlebnis für Eltern, deren Familie und Freunde, aber auch für den Geburtshelfer. Entscheidende Bedeutung für den Verlauf einer Mehrlingsschwangerschaft ist die Ultraschalluntersuchung zwisc...
loading
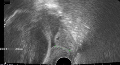
Nackenfaltenmessung
Einige wichtige Punkte zum Thema Nackenfaltenmessung bzw. First trimester screening: Chromosomale Störungen wie Trisomie 21, 13 und 18 nehmen ab dem 35. Lj deutlich zu. Früher wurde schwangeren Frauen ab dem 35. Lebensjahr eine Fruchtwasser- oder Plazentapunktion mit einigen Eingriffsriske...
loading
Gynäkologie
Anbei einige typische gynäkologische Krankheiten (näheres dazu auf der website): PCO Syndrom: Allgemein ist zu sagen, dass das PCO-Syndrom (=polyzystisches Ovar Syndrom) die häufigste hormonelle Störung von Frauen im gebärfähigen Alter ist, ca. 5-10 % sind davon betroff...
loading
Familienplanung/Verhütung
Bewertung mit Pearl Index Je niedriger der Pearl-Index, desto sicherer ist ein Verhütungsmittel. Ausgegangen wird von einer Gruppe von 100 sexuell aktiven Frauen. Mit dem Pearl-Index wird die Zahl der Frauen angegeben, die trotz Einnahme eines bestimmten Verhütungsmittels nach Ablauf eines...
loading
Betreuung nach Frühgeburten
Frühgeburten sind das Hauptproblem der modernen Geburtshilfe und verantwortlich für 70% der perinatalen Mortalität sowie 80-90% der neonatalen Morbidität. Obwohl ca. 10% aller Geburten als Frühgeburt zu definieren sind (Geburt vor der abgeschlossenen 37. SSW), konzentrieren...
loading
Akupunktur als Alternative
Was sind gängige Indikationen für Akupunktur? Hier nur ein Auszug: HNO: Allergischer Schnupfen, Neuralgien, Schwerhörigkeit, Sinusitis, verlegte Nase Schmerzen: Kopfschmerzen, Zahnschmerzen Kreislauf: Bluthochdruck Lunge: Asthma, Bronchitis Psychische Störungen: Reizbarkeit, Angs...
Erweitertes Profil (entgeltlich). Aktualität, Richtigkeit und Vollständigkeit der Daten ohne Gewähr.