loading
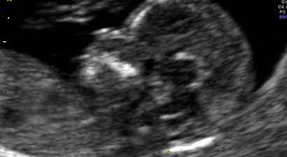
Feindiagnostik/Organscreening 20.-23. SSW
Das Organscreening/Feindiagnostik stellt eine standardisierte Untersuchung dar, bei der definierte Schnittebenen der wichtigsten Körper- und Organstrukturen dargestellt werden. Zusätzlich gilt ein besonderer Augenmerk der fetalen Echokardiographie (Herzuntersuchung).   Damit kann mit...
loading
Verhütungsberatung
In einem ausführlichen Gespräch ist es möglich , die für SIE optimale Verhütung zu finden, sei es einfach nur die "geeignete Pille" zu finden, oder auch Beratung hinsichtlich 3- Monatsspritze oder sämtliche Einlagen in die Gebärmutter z.B.: Kupferspirale Hormonspir...
loading
Schwangerschaftsbetreuung
Einer meiner Schwerpunkte liegt in der Betreuung von Schwangerschaften bis zur Geburt. Die Betreung von "normalen" Schwangerschaften stellen für mich die Basis dar, durch meine lanjährge Tätigkeit konnte ich mir auch viel Wissen in der Betreuung von Risikoschwangerschaften aneignen. F...
loading
Onkologische Nachsorge
zertifizierte onkologische Nachsorgeordination bei : Z.n. Ovarialcarcinom Z.n. Endometriumcarcinom Z.n. Vulvacacinom Z.n. Cervixcarcinom Z.n. Mammacarcinom
loading
Nackentransparenzmessung 12.-14. SSW inkl. NIPT/NIFTY Test
Zwischen der 12. (11 + 0) und der 14. Schwangerschaftswoche (13 + 6) ist es möglich das sogenannte Ersttrimesterscreening inkl. Nackentransparenzmessung (Nackenfaltenmessung), durchzuführen. Hierbei wird Ihr Baby das erste Mal von „Kopf bis Fuß"genau untersucht. Grobe Auff...
loading
Kinderwunsch
Sollte es mit einer geplanten Schwangerschaft leider nicht klappen, so kann ich Ihnen die komplette Abklärung inkl. Hormonstatus , ggf. operative Abklärung mittels Bauchspiegelung und milde Stimulationen der Eierstöcke anbieten. Sollte es dennoch nicht zum Eintreten einer Schwangersch...
loading
Jahresuntersuchung
Die jährliche Routinekontrolle beinhaltet neben einer ausführlichen Anamnese die: äußere genitale Untersuchung Vaginalabstrich - Nativsekret Kolposkopie PAP Abstrich Vaginale Tastuntersuchung Vaginaler Ultraschall Abtastung der Brust
loading
Gynäkologische Erkrangungen
Sollte bei einer Kontrolle leider eine Erkrankung im kleinen Becken festgestellt werden, was eine operative Therapie erfordert, so kann ich auch die Betreuung im Krankenhaus fortführen. Viele Eingriffe könnte ich für Sie auch persönlich durchführen. Durch die zunehmende Spez...
loading
3D/4D Ultraschall
Bei meinen Patientinnen wird bei guter Kindslage auf Wunsch auch ein 3D Bild angefertigt. Aus Termingründen ist es mir NICHT möglich für "ordinationsfremde" Patientinnen diese Untersuchung anzubieten! Ich bitte hierfür für Verständnis!
Erweitertes Profil (entgeltlich). Aktualität, Richtigkeit und Vollständigkeit der Daten ohne Gewähr.