loading
ACP-Therapie
Die ACP ( A utologes C onditioniertes P lasma) Therapie gewinnt als biologisch-reparativ wirksame Therapie in Orthopädie und Sporttraumatologie zunehmend an Bedeutung.   Im Zuge einer ACP Therapie wird das nach einem speziellen Verfahren aus dem eigenen Blut gewonnene Blutplasma in verschiedene...
loading
Stoßwellentherapie
Die extrakorporalen Stoßwellentherapie (ESWT) wird in der Orthopädie, Unfallchirurgie und Sporttraumatologie vor allem zur Geweberegeneration eingesetzt. Die Stoßwelle ist mit einer energiereichen, akustischen Welle vergleichbar. Durch die Mechanik dieser Welle werden Botenstoffe freigesetzt, die so...
loading
Arthroskopie (Gelenkspiegelung)
Die Arthroskopie (=Gelenkspiegelung) wird häufig auch als “Schlüssellochchirurgie” bezeichnet und kann sowohl für diagnostische als auch therapeutische Zwecke genutzt werden. Im Zuge eines arthroskopischen Eingriffes können Gelenke mithilfe einer kleinen Kamera (=Arthroskop) von innen betrachtet und...
loading
Verletzungen der Rotatorenmanschette
Als Rotatorenmanschette wird jene Muskelgruppe bezeichnet, welche sich zwischen dem Schulterblatt (lat.: Scapula) und dem Oberarmkopf (lat.: Caput humeri) erstreckt und wie eine Muskelhaube den Großteil des Oberarmkopfes umschließt. Eine intakte Rotatorenmanschette gewährleistet durch das funktionel...
loading
Tennisellenbogen, Golferellenbogen
Beim sogenannten Tennisellenbogen handelt es sich um eine Überlastungsreaktion bei Überbeanspruchung der Sehnen der Hand- und Fingerstrecker. Durch berufliche oder sportliche Belastung kommt es zu degenerativen Veränderungen im Bereich der Sehnenansätze am äußeren unteren Teil des Oberarmknochens (r...
loading
Schulterluxation (Schulterverrenkung, Instabilitäten)
Bei einer Schulterverrenkung (lat.: Luxation) kommt es zu einem kompletten Kontaktverlust zwischen Kopf und Pfanne des Schultergelenks. Knapp 95% aller Luxationen zeigen sich durch eine Verrenkung nach vorne unten. Die möglichen Folgen einer Verrenkung sind eine Überdehnung der Kapsel und der Bänder...
loading
(Posttraumatische) Hüftgelenksarthrose
Die Hüftgelenksarthrose (Coxarthrose) im Allgemeinen ist eine degenerative Erkrankung des Hüftgelenks – insbesondere im höheren Alter. Es handelt sich um einen Verschleiß der Knorpeloberfläche von Hüftpfanne (Acetabulum) und Hüftkopf (Caput femoris).   Auf der einen Seite können beschleunigte A...
loading
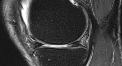
Meniskusriss
Meniskusschäden sind relativ häufig. Sie entstehen in vielen Fällen aufgrund vorbestehender Abnützungserscheinungen, können aber auch rein traumatisch sein. In der Regel ist der Innenmeniskus häufiger von einem Meniskusschaden betroffen als der Außenmeniskus. Ist der Meniskus nur leicht geschädigt (...
loading
Kreuzbandriss
Von einem Kreuzbandriss, auch Kreuzbandruptur genannt, spricht man bei einem unvollständigen (partiellen) oder vollständigen (kompletten) Riss (Ruptur) eines oder beider Kreuzbänder. In den meisten Fällen ist das vordere Kreuzband (Ligamentum cruciatum anterius) von einem Riss betroffen. Kreuzbandri...
loading
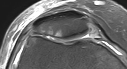
Knorpelschäden
Die Gelenkflächen des menschlichen Körpers bestehen aus hyalinem Knorpel. Dieser weist eine hohe Druckelastizität auf und ist beim Erwachsenen frei von Gefäßen und Nerven. Die Ernährung der Zellen muss daher über Diffusion erfolgen, was beim Gelenkknorpel über die Synovialflüssigkeit (= Gelenksflüss...
loading
Abklärung und Behandlung von Knieschmerzen
Schmerzen im Kniegelenk können unterschiedliche Gründe haben. Zu den häufigsten Ursachen von Knieschmerzen zählen akute oder chronische Veränderungen eines Meniskus oder des Knorpels. Risse von Bändern führen zu Instabilitäten, Überlastungen zu entzündlichen Reaktionen und Schmerzen. In vielen Fälle...
loading
Kniescheibenverrenkung
Die Kniescheibenverrenkung (Patellaluxation) ist eine Kniegelenksverletzung, bei der die Kniescheibe (Patella) aus ihrer Führung springt (Luxation). Meist bewegt sich die Kniescheibe spontan in ihre Ursprungsstellung zurück (Reposition). Selten verbleibt sie in ihrer Verrenkungsstellung außen am Kni...
loading
Impingementsyndrom der Schulter
Das Impingement-Syndrom stellt ein Einklemmen unterschiedlicher anatomischer Strukturen im Bereich der Schulter dar. Dies kann verschiedenste Ursachen haben. Das sogenannte „subacromiale Impingement“ ist die vermutlich häufigste Form des Impingementsyndroms. Hierbei kommt es zu einem Engpasssyndrom...
Erweitertes Profil (entgeltlich). Aktualität, Richtigkeit und Vollständigkeit der Daten ohne Gewähr.