Bitte beachten Sie die generelle Kurzparkregelung des Bezirkes (2 Stunden) sowie die...
Erreichbarkeit
Mit dem eigenen Fahrzeug
Bitte beachten Sie die generelle Kurzparkregelung des Bezirkes (2 Stunden) sowie die eingeschränkte Parkdauer (1,5 Stunden) in der Alser Straße.
Nächste Parkgarage: Zimmermannplatz (ca. 500 m)
Mit öffentlichen Verkehrsmitteln
U6 Station Alserstraße > umsteigen in die Straßenbahnlinie 43
Strassenbahnlinien: 43 / 44 > bis Brünnlbadgasse oder Skodagasse
Buslinie 13A > bis Endstation Skodagasse
Herzlich willkommen in meiner Ordination
Als Facharzt für Orthopädie und Orthopädische Chirurgie habe ich mich auf die Behandlung von Verletzungen und Erkrankungen des Fußes, des Knies und der Hüfte spezialisiert.
Übermäßige Beanspruchung, Verletzungen sowie angeborene und erworbene Fehlbildungen des Fußes und des Beines können sich negativ auf die Beweglichkeit und Lebensqualität auswirken und zu zahlreichen Folgeerkrankungen und Fehlhaltungen führen. Dank meiner langjährigen Erfahrung bin ich mit unterschiedlichsten Formen von Beeinträchtigungen und Problemen des Vor- und Rückfußes und der unteren Extremität bestens vertraut und kann meinen Patienten eine umfassende Betreuung bieten, die darauf abzielt, dass Sie sich wieder schmerzfrei durch den Alltag bewegen können.
In meiner Ordinationen nehme ich mir in entspannter Atmosphäre für Sie und Ihre Fragestellungen Zeit: Nach einer umfassenden Anamnese, einer genauen klinischen Untersuchung und der Erstellung einer exakten Diagnose erkläre ich Ihnen ausführlich das zugrundeliegende Krankheitsbild und die jeweiligen Behandlungsmöglichkeiten. Bei der Therapieplanung stehen dabei hre individuellen Bedürfnisse im Vordergrund.
Meine Ordination ist Teil des Fusszentrums Wien, einer Gemeinschaftspraxis, deren Schwerpunkt die Behandlung von Fußerkrankungen und -fehlstellungen ist. Dank der engen Zusammenarbeit und dem intensiven Austausch mit anderen auf Fußchirurgie spezialisierten Orthopäden sowie in diesem Bereich erfahrenen Physiotherapeuten ist sichergestellt, dass Patienten bei uns nach höchsten medizinischen Standards behandelt werden und von der Erstvorstellung bis zur vollständigen Genesung eine umfassende und bedürfnisorientierte Betreuung erfahren.
Ich freue mich auf Ihren Besuch!
Ihr Dr. Thomas Czurda
Erreichbarkeit
Bitte beachten Sie die generelle Kurzparkregelung des Bezirkes (2 Stunden) sowie die eingeschränkte Parkdauer (1,5...
Mit dem eigenen Fahrzeug
Bitte beachten Sie die generelle Kurzparkregelung des Bezirkes (2 Stunden) sowie die eingeschränkte Parkdauer (1,5 Stunden) in der Alser Straße.
Nächste Parkgarage: Zimmermannplatz (ca. 500 m)
Mit öffentlichen Verkehrsmitteln
U6 Station Alserstraße > umsteigen in die Straßenbahnlinie 43
Strassenbahnlinien: 43 / 44 > bis Brünnlbadgasse oder Skodagasse
Buslinie 13A > bis Endstation Skodagasse
Wahlarzt
- Montag Geschlossen
- Dienstag Geschlossen
- Mittwoch Geschlossen
-
Donnerstag
15:00 - 20:00
- Freitag Geschlossen
- Samstag Geschlossen
- Sonntag Geschlossen
- Deutsch
- Englisch
- Orthopädie u. Orthopädische Chirurgie
- Montag Geschlossen
- Dienstag Geschlossen
- Mittwoch Geschlossen
-
Donnerstag
15:00 - 20:00
- Freitag Geschlossen
- Samstag Geschlossen
- Sonntag Geschlossen
Wahlarzt
- Deutsch
- Englisch
- Orthopädie u. Orthopädische Chirurgie
Fotos & Videos
Herzlich willkommen in meiner Ordination
Als Facharzt für Orthopädie und Orthopädische Chirurgie habe ich mich auf die Behandlung von Verletzungen und Erkrankungen...
Herzlich willkommen in meiner Ordination
Als Facharzt für Orthopädie und Orthopädische Chirurgie habe ich mich auf die Behandlung von Verletzungen und Erkrankungen des Fußes, des Knies und der Hüfte spezialisiert.
Übermäßige Beanspruchung, Verletzungen sowie angeborene und erworbene Fehlbildungen des Fußes und des Beines können sich negativ auf die Beweglichkeit und Lebensqualität auswirken und zu zahlreichen Folgeerkrankungen und Fehlhaltungen führen. Dank meiner langjährigen Erfahrung bin ich mit unterschiedlichsten Formen von Beeinträchtigungen und Problemen des Vor- und Rückfußes und der unteren Extremität bestens vertraut und kann meinen Patienten eine umfassende Betreuung bieten, die darauf abzielt, dass Sie sich wieder schmerzfrei durch den Alltag bewegen können.
In meiner Ordinationen nehme ich mir in entspannter Atmosphäre für Sie und Ihre Fragestellungen Zeit: Nach einer umfassenden Anamnese, einer genauen klinischen Untersuchung und der Erstellung einer exakten Diagnose erkläre ich Ihnen ausführlich das zugrundeliegende Krankheitsbild und die jeweiligen Behandlungsmöglichkeiten. Bei der Therapieplanung stehen dabei hre individuellen Bedürfnisse im Vordergrund.
Meine Ordination ist Teil des Fusszentrums Wien, einer Gemeinschaftspraxis, deren Schwerpunkt die Behandlung von Fußerkrankungen und -fehlstellungen ist. Dank der engen Zusammenarbeit und dem intensiven Austausch mit anderen auf Fußchirurgie spezialisierten Orthopäden sowie in diesem Bereich erfahrenen Physiotherapeuten ist sichergestellt, dass Patienten bei uns nach höchsten medizinischen Standards behandelt werden und von der Erstvorstellung bis zur vollständigen Genesung eine umfassende und bedürfnisorientierte Betreuung erfahren.
Ich freue mich auf Ihren Besuch!
Ihr Dr. Thomas Czurda
Fotos & Videos
Leistungen
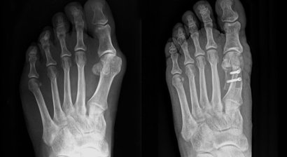
Vorfuß-Beschwerden
Sehnenpathologien
Plattfuß
Knorpelaufbau, konservative Arthrosebehandlung
Knieprothese
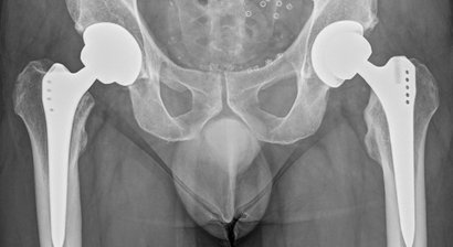
Hüftprothese
Hallux valgus
Einlagenversorgung
Arthroskopie (Sprunggelenk, Knie)
Kollegen im Netzwerk
Priv.Doz. Dr. Christof Radler
Orthopäde (in [[ calculateDistanceTo([16.347129,48.215118]) ]] km)
OA Dr. Michel Chraim
Orthopäde (in [[ calculateDistanceTo([16.347143,48.215002]) ]] km)Univ.Prof. Dr. Hans-Jörg Trnka
Orthopäde (in [[ calculateDistanceTo([16.347129,48.215118]) ]] km)Beiträge aus dem Fachbereich

Meniskusriss

Hüftschmerzen

Bakerzyste - Ursache, Symptome und Behandlung
Meniskusriss
Hüftschmerzen
Bakerzyste - Ursache, Symptome und Behandlung
Gesamtbewertung
Weitere Bewertungen| 5 Punkte |
|
91% |
| 4 Punkte |
|
0% |
| 3 Punkte |
|
9% |
| 2 Punkte |
|
0% |
| 1 Punkt |
|
0% |
Detailbewertungen anzeigen
Detailbewertungen
Erklärung zum Bewertungssystem| Einfühlungsvermögen des Arztes |
5,0
|
(9) |
| Serviceangebot |
4,9
|
(9) |
| Betreuung durch Arzthelfer |
4,9
|
(9) |
| Praxisaustattung / Räumlichkeiten |
4,9
|
(9) |
| Zufriedenheit mit der Behandlung |
4,9
|
(9) |
| Vertrauen zum Arzt |
5,0
|
(9) |
| Wartezeit im Warteraum |
4,8
|
(9) |
| Wartezeit auf Termin |
4,7
|
(9) |
Erfahrungsberichte
War nicht so begeistert
Vom Rollstuhl auf den Golfplatz
| Einfühlungsvermögen des Arztes |
|
| Vertrauen zum Arzt |
|
| Zufriedenheit mit der Behandlung |
|
| Serviceangebot |
|
| Praxisaustattung / Räumlichkeiten |
|
| Betreuung durch Arzthelfer |
|
| Wartezeit im Warteraum |
|
| Wartezeit auf Termin |
|
Nach neun Jahren und mehreren Ärzten die beste und kompetenteste Behandlung
| Einfühlungsvermögen des Arztes |
|
| Vertrauen zum Arzt |
|
| Zufriedenheit mit der Behandlung |
|
| Serviceangebot |
|
| Praxisaustattung / Räumlichkeiten |
|
| Betreuung durch Arzthelfer |
|
| Wartezeit im Warteraum |
|
| Wartezeit auf Termin |
|
Sehr kompetent und sympathisch
| Einfühlungsvermögen des Arztes |
|
| Vertrauen zum Arzt |
|
| Zufriedenheit mit der Behandlung |
|
| Serviceangebot |
|
| Praxisaustattung / Räumlichkeiten |
|
| Betreuung durch Arzthelfer |
|
| Wartezeit im Warteraum |
|
| Wartezeit auf Termin |
|
sehr kompetent und einfühlsam
Detailbewertungen anzeigen
Detailbewertungen
Erklärung zum Bewertungssystem| Einfühlungsvermögen des Arztes |
5,0
|
(9) |
| Serviceangebot |
4,9
|
(9) |
| Betreuung durch Arzthelfer |
4,9
|
(9) |
| Praxisaustattung / Räumlichkeiten |
4,9
|
(9) |
| Zufriedenheit mit der Behandlung |
4,9
|
(9) |
| Vertrauen zum Arzt |
5,0
|
(9) |
| Wartezeit im Warteraum |
4,8
|
(9) |
| Wartezeit auf Termin |
4,7
|
(9) |