loading
Wurzelbehandlung
Als Zahnarzt bin ich der Ansicht, dass der Erhalt der eigenen Zähne eine gute Lösung für den Patienten ist, weswegen ich eine zahnerhaltende Behandlung einem Zahnersatz bei Möglichkeit immer vorziehe.   Ist das Innere eines Zahnes entzündet oder der Nerv des Zahnes abgestorben, beispielsweise a...
loading
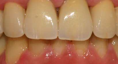
Krone (Keramikkronen)
Bei einer Zahnkrone handelt es sich um eine Form von Zahnersatz, welche bei geschädigten Zähnen, die durch eine Füllung nicht mehr zu retten sind vom Zahnarzt eingesetzt werden, um den betroffenen Zahn abzudichten, zu stabilisieren und seine Funktion wiederherzustellen.   Es gibt unterschiedlic...
loading
Veneers
Bei Veneers handelt es sich um hauchdünne und beinahe transparente Keramikschalen, die vom Zahnarzt oberflächlich am Zahn des Patienten aufgebracht werden und mithilfe welcher gleich mehrere Korrekturen, insbesondere im Frontzahnbereich, möglich sind, darunter: Korrektur leichter Zahn...
loading
Prophylaxe
Prophylaxe hat in der Klinik einen besonders hohen Stellenwert. Einerseits, da wir unsere Patienten bestmöglich dabei unterstützen wollen ein Leben lang gesunde Zähne zu haben, andererseits, da für jede höherwertige Versorgung mit Zahnersatz bestimmte Grundvoraussetzungen er...
loading
Inlay (Keramikfüllungen)
Bei einem Inlay handelt es sich um eine Füllung, welche bei kariesgeschädigten Zähnen oder Zähnen, die durch eine undichte Füllung gefährdet sind vom Zahnarzt eingesetzt wird, um den betroffenen Zahn abzudichten, zu stabilisieren und weitere Zerstörungen des Zahnes zu verhindern.   Füllungen kö...
loading
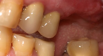
Implantologie und Knochenaufbau
Bei einem Zahnimplantat handelt es sich um eine künstliche Zahnwurzel, die während eines kleinen chirurgischen Eingriffs in den Kieferknochen eingebracht wird, wo sie sich mit der umgebenden Knochensubstanz zu einer festen und stabilen Trägereinheit verbindet. Zahnimplantate sind die beste Versorgun...
Erweitertes Profil (entgeltlich). Aktualität, Richtigkeit und Vollständigkeit der Daten ohne Gewähr.